LOGIQ E9

  • Haqqında
  • VİDEO

Əsas Xüsusiyyətlər

Agile & S-Agile Akustik Arxitekturaları:
Xəstənin bədən quruluşuna (body habitus) avtomatik uyğunlaşaraq optimallaşdırılmış səs dalğası ötürülməsi və qəbulunu təmin edir.

XDclear Processing Engine:
Arxa planda fasiləsiz işləyərək görüntünün kontrastını, rezolyusiyasını və siqnal-səs nisbətini yüksəldir.

Geniş Problar Portfeli:
Aktiv matrisa, hibrid 3D/4D transduserlər və müxtəlif kliniki tələblər üçün uyğunlaşdırılmış ixtisaslaşmış prob modelləri ilə geniş seçim imkanı.

Yüksək Rezolyusiyalı Geniş Ekran (OLED):
Yüksək kontrastlı, konfiqurasiya edilə bilən görüntü interfeysi və istisna vizual aydınlıq.

B-Flow™ Vizualizasiya:
Kiçik damarların yüksək temporal və məkan rezolyusiyası ilə artefaktsız görüntülənməsi üçün inkişaf etmiş hemodinamika təsviri.

Raw Data Emalı:
Müayinə vaxtını qısaldır; ölçmələr, açı korreksiyası, annotasiyalar, bazis xəttinin tənzimlənməsi və digər post-processing funksiyalarının aparılmasına imkan yaradır.

Compare Assistant:
Eyni monitor üzərində real vaxtda əvvəlki müayinələri (US, MMQ, KT, MRT) cari görüntülərlə yanaşı müqayisə etməyə imkan verir.

Scan Assistant:
İş axınını standartlaşdırmaq və düymə sayını azaltmaq üçün tam fərdiləşdirilə bilən avtomatlaşdırma modulu.

Productivity Packages:
Süd vəzisi və qalxanabənzər vəz müayinələrinin səmərəliliyini artırmaq üçün xüsusi proqram paketləri.

Kontrast Gücləndirilmiş Ultrasəs (CEUS) + Parametrik Görüntüləmə:
Toxuma perfuziyasının və lezyon vaskulyarizasiyasının dəqiq dəyərləndirilməsini təmin edir.

Shear Wave Elastografiya:
Toxuma sərtliyinin 2D kəmiyyət analizi üçün qeyri-invaziv elastoqrafik qiymətləndirmə.

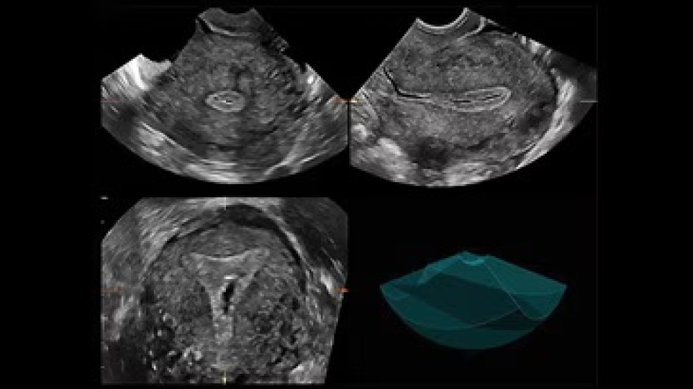
Volume Navigation:
Real vaxt ultrasəsini əvvəlcədən əldə edilmiş CBCT, KT, MRT, PET və ya 3D-US görüntüləri ilə üst-üstə gətirmə və yaxud yanaşı müqayisə etməyə imkan verir.

Ölçülər 

22″ OLED geniş ekran monitor

Hündürlük: 51 in

En: 23 in

Dərinlik: 35.5 in

Çəki: 297 lb

Uyğun Problar 

XDclear Problar

M5Sc-D – Aktiv matrisa fazalı prob, 1.4–4.6 MHz

C2-9-D – Geniş spektrli konveks prob, 2–9 MHz

Sektor Kardial Problar

3V-D – 4D kardial sektor probu, 1.5–4 MHz

4V-D – Aktiv matrisa 4D həcm sektor probu, 1.5–4 MHz

M5S-D – Aktiv matrisa fazalı prob, 1–5 MHz

6S-D – Pediatrik sektor probu, 2.4–8 MHz

12S-D – Neonatal pediatrik sektor probu, 4–12 MHz

Linear Problar

ML6-15-D – Matrisa lineer, 4–15 MHz

9L-D – Lineer prob, 2.4–10 MHz

11L-D – Lineer prob, 4.5–12 MHz

Konveks Problar

C1-5-D – Geniş spektrli konveks prob, 1–6 MHz

4C-D – Əyri massiv konveks prob, 1.6–6 MHz

8C – Mikro-konveks prob, 4–8 MHz

Endokavitar Problar

IC5-9-D – Mikro-konveks endokavitar prob, 3–10 MHz

Xüsusi Problar

P2D Pedoff – CW “pencil” probu, 2.0 MHz

P6D Pedoff – CW probu, 6.3 MHz

I13L – İntraoperativ lineer, 5.9–14.1 MHz

6VT-D – Aktiv matrisa 4D TEE, 3–8 MHz

6T / 6T-RS / 6Tc / 6Tc-RS – Böyüklər üçün TEE, 2–8 MHz aralığı

9T / 9T-RS – Pediatrik TEE, 3–10 MHz

*Cihaz alışı ilə bağlı rəsmi nümayəndəliyə müraciət etməyiniz xahiş olunur. Burada təqdim olunan məlumat yalnız informasiya xarakteri daşıyır və SAS Medical tərəfindən yeni cihazların satışları həyata keçirilmir.

Açıqlama

GE LOGIQ E9

GE Logiq E9  — qadın sağlamlığı, 4D obstetrik və ginekoloji müayinələr, radiologiya, kardiologiya, pediatriya və vaskulyar diaqnostika üçün nəzərdə tutulmuş premium sinif ultrasəs sistemidir.

Bu platforma XDclear texnologiyasının yüksək rezolyusiya və dərin penetrasiya imkanlarını təkmilləşdirilmiş akustik arxitektura, gücləndirilmiş prosessinq mühərriki və inkişaf etdirilmiş vizualizasiya texnologiyaları ilə birləşdirir.

R6 versiyası aşağıdakı qabaqcıl funksiyaları dəstəkləyir:

Volume Navigation — real vaxtda 3D/4D həcm naviqasiyası

Fusion Imaging — ultrasəs görüntüsünün CT/MRI ilə birləşdirilməsi

GPS-like sistemas — anatomik orientasiyanın dəqiqləşdirilməsi

Needle Tracking — iynə hərəkətinin yüksək dəqiqliklə izlənilməsi (invaziv prosedurlar üçün)

 


Satılan Cihazlar