LOGIQ P9 XDclear

  • Haqqında
  • VİDEO

Əsas Xüsusiyyətlər

• XDclear Probları ilə Yüksək Keyfiyyətli Təsvir

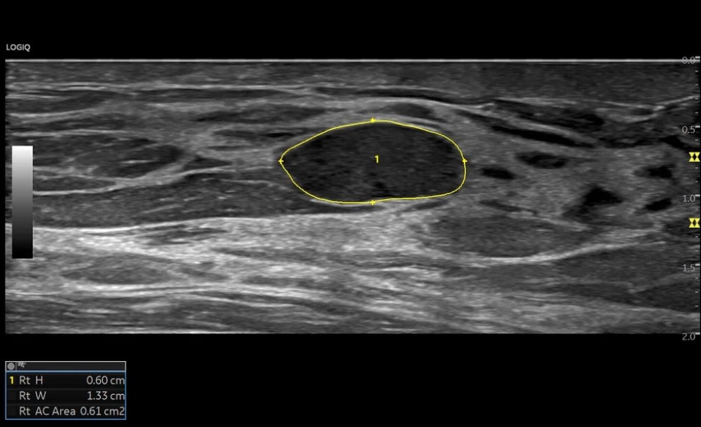
XDclear platforması geniş zolaqlı (broad-bandwidth) siqnal ötürülməsi sayəsində həm səthi, həm də dərin anatomiya strukturlarında yüksək məkan və kontrast rezolyusiyalı təsvir əldə etməyə imkan verir.

• Fərdiləşdirilmiş İş Axını Alətləri

Start AssistantMy Preset kimi funksiyalar müayinə parametrlərinin və istifadəçi üstünlüklərinin fərdiləşdirilməsinə şərait yaradır, bu isə klinik workflow-un standartlaşdırılmasını və sürətləndirilməsini təmin edir.

• Avtomatlaşdırılmış Skanning Funksiyaları

Continuous Tissue Optimization (CTO), Auto IMT, AutoEF, Measure Assistant, Compare AssistantScan Assistant kimi alətlər müayinə müddətini azaldır, ölçmələrdə sərbəst səhvləri minimuma endirir və operatorun məhsuldarlığını artırır.

• İnterfeys və İdarəetmə Ergonomikası

Fərdiləşdirilə bilən klavişlər, joystick və sensor panel vasitəsilə sistem intuitiv idarə olunur, klaviş vuruşlarının ümumi sayını əhəmiyyətli dərəcədə azaldır və operativliyi artırır.

• Uzaqdan İdarəetmə İmkanları

LOGIQ Smart App tətbiqi vasitəsilə əsas ultrasəs rejimlərini, dondurma/çap funksiyalarını, dərinliyi, qazanclı tənzimləmələri və ROI seçimini smartfon və ya planşet üzərindən məsafədən idarə etmək mümkündür.

• Məlumatların İdarəedilməsi

Sistem DICOM® protokolu ilə məlumat ötürülməsini və bulud əsaslı arxivləşdirməni (anonimləşdirilmiş şəkildə) dəstəkləyir ki, bu da məlumatların effektiv saxlanmasına və paylaşılmasına şərait yaradır.

• Yüksək Mobilik

Kompakt konstruksiya, yüngül çəki və Extended Battery Power Assistant sayəsində sistem bir saata qədər elektrik şəbəkəsindən kənar işləmə imkanı təqdim edir, klinik daxilində rahat daşınma təmin olunur.

 Texniki Xüsusiyyətlər

Probların qoşulma portları: 4 aktiv port

Sensor panel: Parametrlərin sürətli və asan tənzimlənməsi üçün

Tənzimlənən monitor: Həkim–pasiyent qarşılıqlı əlaqəsini və ergonomikanı artırır

USB portları: Çoxsaylı məlumat ötürülməsi və birləşmə imkanları

Gel isidicisi: Pasiyentin komfortunu artırır

Saxlama rəfi: Aksesuarların rahat yerləşdirilməsi üçün

Ön və arxa tutacaqlar: Rahat daşınma və mövqe dəyişdirmə

 Konveks Problar

C1-6-D: Abdominal, OB/GYN, uroloji müayinələr

C2-7-D: Abdominal və OB/GYN tətbiqləri

RAB2-6-RS: Abdominal və OB/GYN üçün çoxprofilli prob

RAB4-8-RS: OB/GYN və abdominal yüksək keyfiyyətli təsvir

RAB6-12-RS: Yüksək tezlikli detallı abdominal və OB/GYN obrazlama

 Mikro-Konveks və Endokavitər Problar

E8C-RS: OB/GYN və uroloji endokavitər müayinələr

E10C-RS: Yüksək detal üçün təkmilləşdirilmiş endokavitər prob

E12C-RS: Xüsusi tətbiqlər üçün yüksək tezlikli prob

RIC5-9A-RS / RIC5-9-RS: Endovaginal OB/GYN müayinələri

 Linear Problar

9L-RS: Kiçik orqanlar, damar, pediatrik və MSK təsvir

12L-RS: Yüksək rezolyusiyalı damar və kiçik orqan vizualizasiyası

L6-12-RS: Səthi strukturlar üçün ideal

L8-18i-RS: Super-yüksək tezlikli səthi təsvir

L3-9i-RS: Geniş görüntü sahəsi ilə çoxprofilli tətbiqlər

L10-22-RS: Maksimum detal tələb edən səthi anatomiyalar üçün

 Fazalı (Phased Array) Problar

3Sc-RS: Kardioloji müayinələr

6S-RS: Kardioloji və abdominal tətbiqlər üçün universal prob

12S-RS: Yüksək tezlikli detallı kardio obrazlama

 Xüsusi və CW Doppler Probları

CW Split Crystal Pencil: Kardioloji və vaskulyar Continuous Wave Doppler

P8D / P6D: Müxtəlif Doppler tətbiqləri üçün

*Cihaz alışı ilə bağlı rəsmi nümayəndəliyə müraciət etməyiniz xahiş olunur. Burada təqdim olunan məlumat yalnız informasiya xarakteri daşıyır və SAS Medical tərəfindən yeni cihazların satışları həyata keçirilmir.

Açıqlama

LOGIQ P9 XDclear
GE HealthCare tərəfindən istehsal olunan LOGIQ™ P9 XDclear™ ultrasəs sistemi müxtəlif klinik şəraitlərdə geniş spektrli ümumi vizualizasiya tələblərini qarşılayan, çoxprofilli və yüksək funksional görüntüləmə platformasıdır. Sistem intuitiv idarəetmə interfeysi, optimallaşdırılmış workflow və XDclear texnologiyası sayəsində yüksək həssaslıq və rezolyusiyalı təsvir əldə etməyə imkan verir.


Satılan Cihazlar