LOGIQ TOTUS

  • Haqqında
  • VİDEO

LOGIQ Totus ultrasəs sistemi tibbi dildə aşağıdakı xüsusiyyətlərə malikdir:

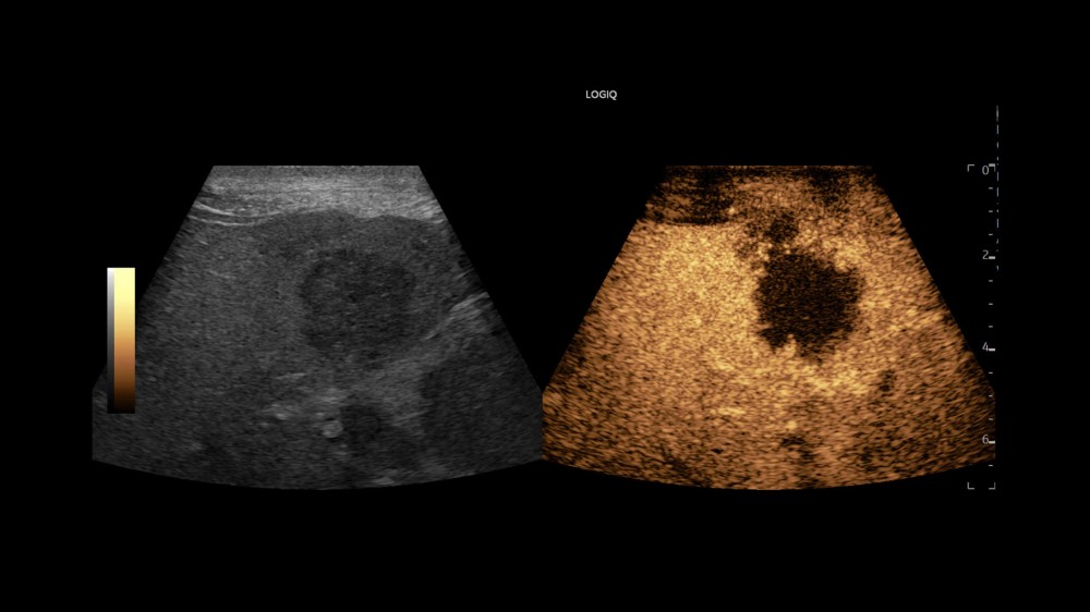
Təkmilləşdirilmiş SRI (Speckle Reduction Imaging): Ultrasəs görüntülərində “speckle” artefaktlarını azaltmaqla toxuma konturlarının aydın görünməsini təmin edir.

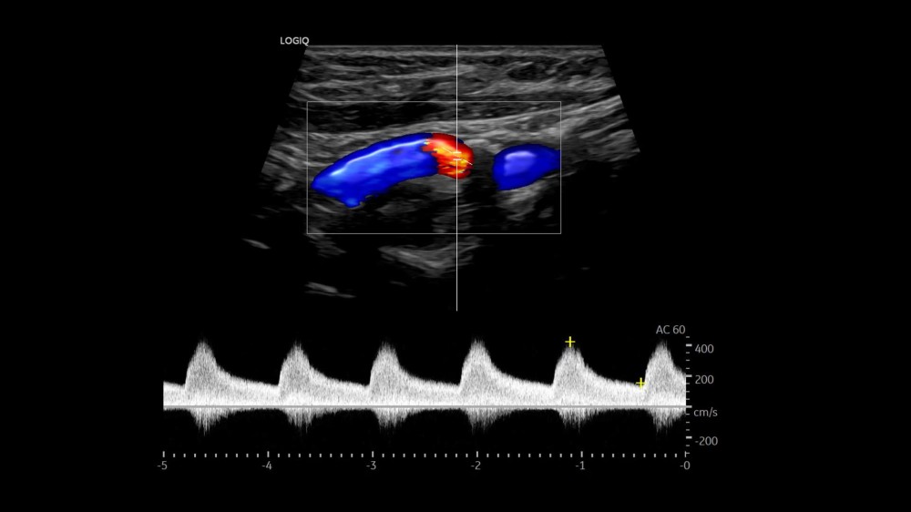
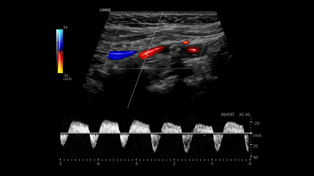
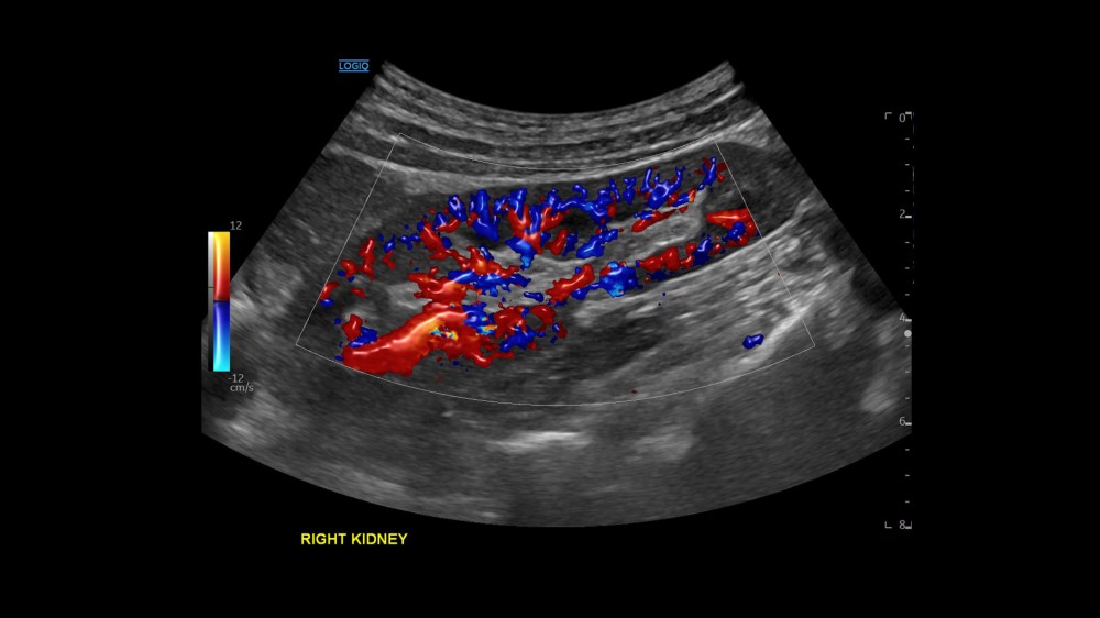
MVI (Micro Vascular Imaging): Kiçik damarların yüksək dəqiqlikli qiymətləndirilməsini təmin edən mikro-damar görüntüləmə rejimi.

Radiantflow™: Kiçik damarların üçölçülü vizuallaşdırılmasını təmin edən texnologiya, MVI ilə birlikdə istifadə edildikdə damar morfologiyasının təhlilini asanlaşdırır.

Məhsuldarlığı artıran avtomatlaşdırılmış alətlər:

Auto Preset Assistant – müayinə protokollarının avtomatik seçimi

Auto Abdominal Color Assistant – qarın damarlarının Doppler rejimində avtomatik optimizasiyası

Voice Control – səsli idarəetmə funksiyası

EZ Imaging – optimallaşdırılmış görüntü əldə etmə

Raw Data – şəkillərin post-prosessinqi üçün xam məlumatların çıxarılması

Compare Assistant – əvvəlki və cari müayinələrin müqayisəsi

Automatic Optimization – avtomatik görüntü keyfiyyətinin artırılması

Virtual Convex – genişləndirilmiş görüntü sahəsi

Advanced 3D – multiplanar 3D görüntüləmə funksiyası

LOGIQView: Ölçmə imkanları ilə inteqrasiya olunmuş geniş sahəli B-rejim görüntüləmə.

CrossXBeam™ (Spatial Compounding): Toxuma konturlarının və sərhədlərin aydınlığını artıran görüntü təkmilləşdirmə texnologiyası.

Coded Harmonics: Ultrasəs siqnallarının keyfiyyətini artırmaqla dərin toxuma görüntülərini yaxşılaşdırır.

DICOM proqram paketi:

Verify, Print, Store, Multi-frame, Modality Worklist, MPPS (Modality Performed Procedure Step), Storage Commitment, Media Exchange və Enhanced US Volume Storage funksiyaları.

Əlavə olaraq, Query/Retrieve və Structured Reporting dəstəyi mövcuddur.

Uyğun Prob Modulları:

Vscan™ Air CL linear

Vscan™ Air CL convex

C1-6-D, C1-6VN-D – konveks prob

C2-7-D, C2-7VN-D – konveks prob

C3-10-D – geniş spektrli konveks prob

RAB6-D – 3D/4D konveks volumetrik prob

ML6-15-D – matrisli lineer prob

L3-12-D, L6-24-D, L8-18i-D – lineer prob

M5Sc-D, 6S-D – sektoral prob

IC5-9-D, RIC5-9-D – endokavitar prob

P2D – 2 MHz CW Pencil

P6D – 6 MHz CW Pencil

P8D – 8 MHz CW Pencil

 

*Cihaz alışı ilə bağlı rəsmi nümayəndəliyə müraciət etməyiniz xahiş olunur. Burada təqdim olunan məlumat yalnız informasiya xarakteri daşıyır və SAS Medical tərəfindən yeni cihazların satışları həyata keçirilmir.

Açıqlama

LOGIQ TOTUS

LOGIQ Totus ultrasəs sistemi sizin klinik məqsədlərinizi dəstəkləmək üçün dizayn edilmişdir və iş günündə məhsuldarlığı artırır. AI ilə dəstəklənmiş iş axını və qərar dəstəyi alətləri performansın səmərəliliyini və çoxistiqaməliliyini təmin edir, yüksək keyfiyyətli görüntüləmə isə başdan ayağa diaqnostik etibarlılığı artırır. LOGIQ Totus-un incə və portativ dizaynı standart ultrasəs təcrübəsinə nisbətən yenilikçi və rahat bir yanaşma təqdim edir.

AI məhsuldarlıq alətləri, o cümlədən Auto Preset AssistantAuto Abdominal Color Assistant, anatomiyanı sürətlə tanımağa və parametrləri tənzimləməyə imkan verir.

Smart Assistant, Scan AssistantVoice Control kimi inkişaf etmiş məhsuldarlıq həlləri iş axınını sadələşdirir və optimallaşdırır.

Yüngül və portativ dizayn sayəsində sistemi asanlıqla klinika daxilində hərəkət etdirmək mümkündür; batareya ilə işləyən skanlama və kabelsiz əl probu ilə təchiz edilmişdir.


Satılan Cihazlar