Voluson Swift

  • Haqqında
  • VİDEO

Ümumi xüsusiyyətlər:

18.5” Touch Monitor – intuitiv və istifadəçi dostu ekran

Ən son süni intellekt alətləri – avtomatik struktur identifikasiyası, görüntü əldə etmə, analiz və hesabatların hazırlanmasını sürətləndirir

Batareya ilə işləmə imkanı – təkərli platforma üçün əlavə mobilik

Optimallaşdırılmış düymə və idarəetmə yerləşimi

Əsas Texnologiyalar və Funksiyalar

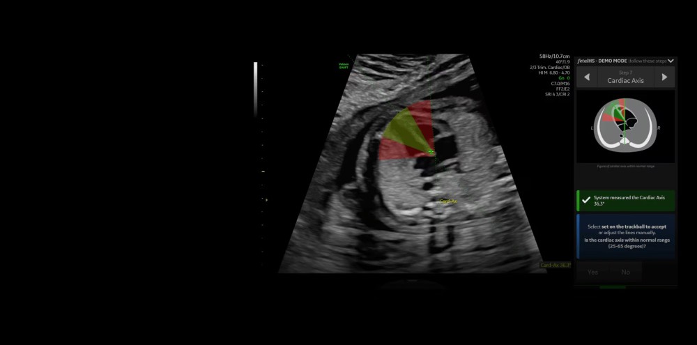
Süni İntellekt (AI): Avtomatik struktur identifikasiyası və annotasiyaları ilə görüntü əldə etmə, analiz və hesabat hazırlama müddətini azaldır.

Gesture-Driven Touch: Touchscreen vasitəsilə intuitiv naviqasiya, fərdiləşdirmə və parametrlərin tənzimlənməsi imkanı.

Voluson Core Architecture: Güclü baza arxitekturası yüksək keyfiyyətli görüntüləmə və gələcək sistem yenilikləri üçün əsas təmin edir.

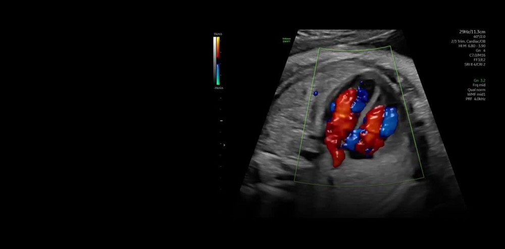
Volumetrik Texnologiyalar: 3D və 4D volumetrik görüntüləmə üçün geniş imkanlar, volumetrik məlumatların əldə edilməsi, işlənməsi və göstərilməsi.

SonoLyst: AI əsaslı görüntüləmə alətləri, avtomatik fetal anatomiyanın identifikasiyası və standart OB baxışlarda Scan Assistant funksiyasının təkmilləşdirilməsi.

HDlive™: 3D volumetrik görüntüdə dəri işıqlandırma və kölgə effektləri ilə yüksək realizm və dərinlik təmin edir.

SonoBiometry: Fetal biometrik ölçmələrin yarı-avtomatlaşdırılmış aləti (BPD, HC, AC, FL, HL, CM, VP, Cerebellum).

Uyğun Problar

GE IC9B-RS 2D Endocavity Probe

GE C1-5-RS Convex Array Probe

GE RAB6-RS Convex Array Volume Probe

GE RAB2-6-RS Wideband Convex Ultra-light Volume Probe

GE RIC5-9A-RS Endocavity Volume Probe

GE IC9-RS Endocavity Probe

GE 12L-RS Linear Array Probe

GE 3Sc-RS Phased Array Probe

GE 3Sc-RS Phased Array Probe

 

*Cihaz alışı ilə bağlı rəsmi nümayəndəliyə müraciət etməyiniz xahiş olunur. Burada təqdim olunan məlumat yalnız informasiya xarakteri daşıyır və SAS Medical tərəfindən yeni cihazların satışları həyata keçirilmir.

Açıqlama

Voluson Swift

GE Voluson SWIFT ultrasəs sistemi, yüksək performanslı 3D/4D görüntüləmə imkanları olan, təkərli (cart-based) ultrasəs platformasıdır və OB/GYN müayinələrinin səmərəliliyini artırmaq məqsədilə hazırlanmışdır. Touchscreeninterfeysi operatora intuitiv və sürətli işləmə imkanı verir.

Sistem fərdiləşdirilə bilən presetlər, customizable menyularworkflow parametrləri ilə təchiz olunub ki, bu da kliniklərə pasiyentlərlə daha çox vaxt ayırmağa və iş axınını optimallaşdırmağa imkan yaradır. Süni intellekt əsaslı avtomatlaşdırma texnologiyası görüntü əldə etmənin və hesabatların hazırlanmasının ardıcıllığını təmin edir, diaqnostik dəqiqliyi və təkrarlana bilməni artırır.


Satılan Cihazlar