Voluson Expert 20

  • Haqqında
  • VİDEO

Lyric Architecture: Məkan və kontrast ayırdetmə qabiliyyəti artırılmış, yüksək rezolyusiyalı və homogen təsvirlər təqdim edən inkişaf etmiş görüntüləmə arxitekturasıdır.
SonoLyst AI aləti: Fetal anatomik strukturları avtomatik aşkar edir, uyğun annotasiyalar və ölçmələr əlavə edərək müayinənin standartlaşdırılmasını və sürətini artırır.
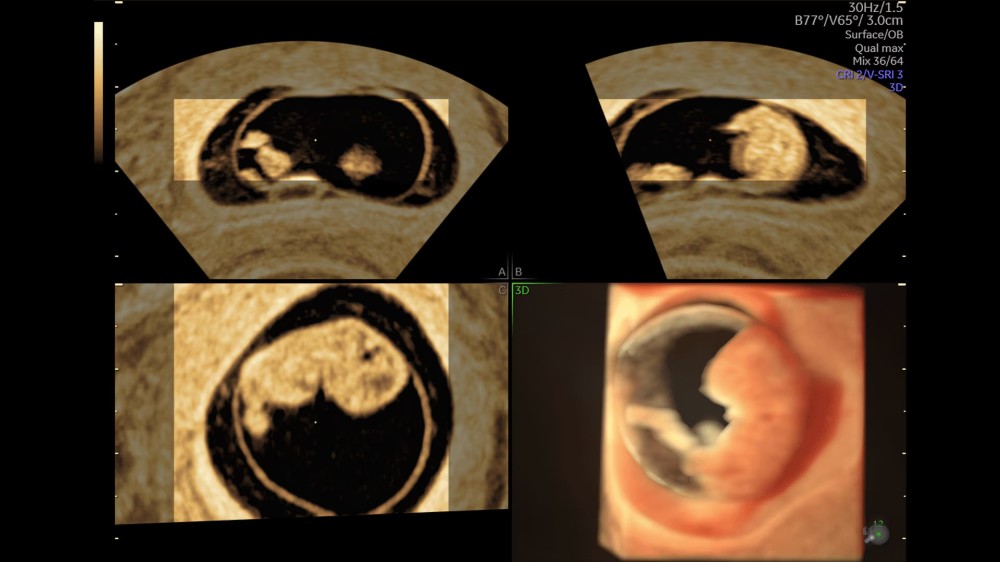
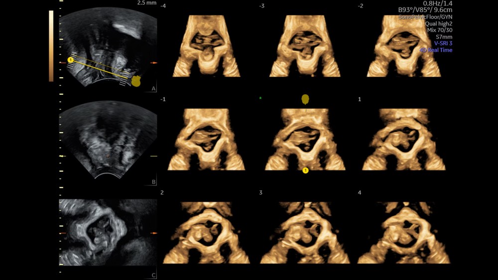
HDlive və Radiantflow: Fetal və digər anatomik strukturların dəyərləndirilməsi üçün yüksək detallı, realistik 3D/4D volumetrik təsvirlər yaradır.
Flow Profiles: Doppler parametrlərini optimallaşdıraraq rəngli və pulslu dalğalı Doppler rejimləri arasında keçidi sadələşdirir.
İstifadəçi yönümlü dizayn: 23.8 düymlük Full HD ekran, fərdiləşdirilə bilən interfeys və pasiyent komfortu üçün inteqrə edilmiş gel qızdırıcısı ilə təchiz olunub.

Texniki xüsusiyyətlər

Sistem arxitekturası: Təkmilləşdirilmiş görüntüləmə imkanlarına malik Lyric Architecture
Ekran: 23.8 düymlük genişformat LED monitor – yüksək dəqiqlikli vizuallaşdırma üçün
Görüntüləmə modları: 2D, 3D/4D, Rəngli Doppler, HDlive, Radiantflow
Məlumat ötürülməsi: DICOM uyğunluğu, Tricefy inteqrasiyası vasitəsilə təhlükəsiz bulud paylaşımı
Uyğun prob növləri: GE-nin inkişaf etmiş 2D, 3D və ixtisaslaşmış prob xəttini tam dəstəkləyir

Problar

Linear Array Prob 9L-D – yüksək rezolyusiyalı səthi və damar strukturlarının görüntülənməsi üçün linear transduser.
Linear Array Prob 11L-D – yüksək tezlikli, detallı yumşaq toxuma və vaskulyar görüntüləmə üçün linear prob.
2D Linear Array L8-18i-D – yüksək tezlik diapazonunda çalışan, musculoskeletal, vaskulyar və səthi orqan müayinələri üçün ixtisaslaşmış linear prob.
Linear Array Prob ML6-15-D – geniş tətbiq sahəsi ilə yüksək keyfiyyətli 2D görüntüləmə təmin edən matrix linear transduser.

2D Konveks Prob C2-9-D – abdominal, OB/GYN və ümumi qarın boşluğu müayinələri üçün nəzərdə tutulmuş geniş sahəli konveks prob.
Konveks Array Prob C1-6D – daha dərin penetrasiya tələb edən qarın və pelvik müayinələr üçün konveks transduser.

Phased Array Prob M5Sc-D – kardiologiya üçün nəzərdə tutulmuş, yüksək kadr sürəti və dərin penetrasiya təmin edən fazalı massiv prob.
Phased Array Prob 6S-D – pediatrik və kardiyak tətbiqlər üçün optimallaşdırılmış yüksək performanslı phased array prob.

Endokavitar Prob IC5-9-D – transvaginal müayinələr üçün istifadə olunan yüksək rezolyusiyalı endokavitar prob.
Endokavitar Həcmi (Volumetrik) Prob RIC5-9-D – 3D/4D transvaginal görüntüləmə üçün endokavitar volumetrik prob.
Endokavitar Həcmi Prob RIC10-D – daha yüksək tezlikli, fetal və pelvik struktur detallarının dərin analizi üçün 3D/4D endokavitar prob.

Konveks Həcmi Prob RAB6-D – obstetrik və abdominal 3D/4D görüntüləmə üçün geniş istifadəli konveks volumetrik transduser.

 

*Cihaz alışı ilə bağlı rəsmi nümayəndəliyə müraciət etməyiniz xahiş olunur. Burada təqdim olunan məlumat yalnız informasiya xarakteri daşıyır və SAS Medical tərəfindən yeni cihazların satışları həyata keçirilmir.

Açıqlama

GE Voluson Expert 20 – OB/GYN və ümumi ultrasəs diaqnostikasında klinik imkanları genişləndirmək üçün nəzərdə tutulmuş yüksək performanslı premium ultrasəs sistemidir. Cihazın əsasını təşkil edən gücləndirilmiş Lyric Architecture platforması görüntünün məkan ayırdetmə qabiliyyətini, toxuma differensasiyasını, dərinlik penetrasiyasını və kadr sürətini artıraraq müxtəlif klinik tətbiqlərdə yüksək dəqiqlikli təsvirlərin əldə olunmasına imkan verir. Bu xüsusiyyətlər erkən hamiləlik dəyərləndirilməsi, inkişaf etmiş fetal kardiologiya, pelvik orqanların kompleks müayinəsi və digər çətin diaqnostik situasiyalarda daha etibarlı qiymətləndirmə aparmağa şərait yaradır.

Sistem süni intellekt əsaslı avansert alətlərlə inteqrasiya olunub. SonoLyst modulu fetal anatomiyanın avtomatik identifikasiyası və annotasiyasını həyata keçirərək müayinənin standartlaşdırılmasını, vaxt itkisinin azaldılmasını və diaqnostik dəqiqliyin artırılmasını təmin edir. HDliveRadiantflow texnologiyaları isə yüksək klinik dəyərə malik, realistik 3D/4D volumetrik təsvirlərin əldə edilməsinə şərait yaradır. Bu texnologiyalar yumşaq toxumaların struktur dərinliyini, damar axınlarının vizuallaşdırılmasını və anatomik əlaqələrin aydınlığını artıraraq diaqnostik interpretasiyanı daha dəqiq edir və pasiyentlərdə müayinə nəticələrinin anlaşıqlı şəkildə təqdim olunmasını təmin edir.


Satılan Cihazlar