Esaote MyLab Sigma

  • Haqqında
  • VİDEO

Ekran: 15.6" dönə bilən və əyilə bilən touchscreen monitor, müxtəlif skan mövqeləri üçün elastiklik təmin edir.
Əməliyyat Sistemi: Windows® 10 üzərində işləyir, müasir proqram təminatı ilə uyğunluq və təhlükəsiz məlumat idarəsini təmin edir.
Əlaqəlilik:

İki daxili prob bağlantısı, əlavə trolleylə dörd bağlantıya qədər genişləndirilə bilər.

DICOM bağlantısını, simsiz kommunikasiya və MyLab™ Desk proqramı ilə məlumat idarəsini dəstəkləyir.
Görüntüləmə Texnologiyaları:

25 MHz-ə qədər yüksək tezlikli problar

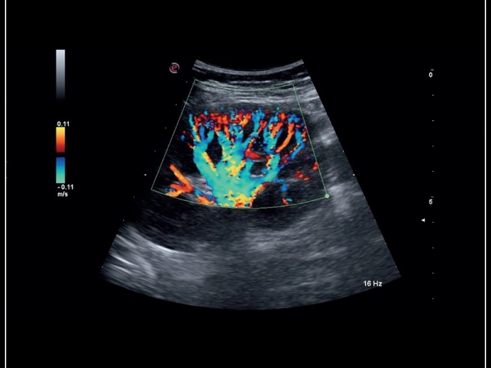
Opsional funksiyalar: Rəngli Doppler, Davamlı Dalğa Doppler, Elastoqrafiya, 3D/4D görüntüləmə
Avtomatlaşdırma: Sıfır klik avtomatlaşdırma alətləri ilə daha sürətli diaqnostika və iş axını effektivliyinin artırılması

 Ölçülər və Çəki

Ölçülər:  37 x 36 x 7 cm
Çəki: Təxminən 7 kg, müxtəlif klinik mühitlər üçün yüngül və portativ

Uyğun Problar

Linear Problar:
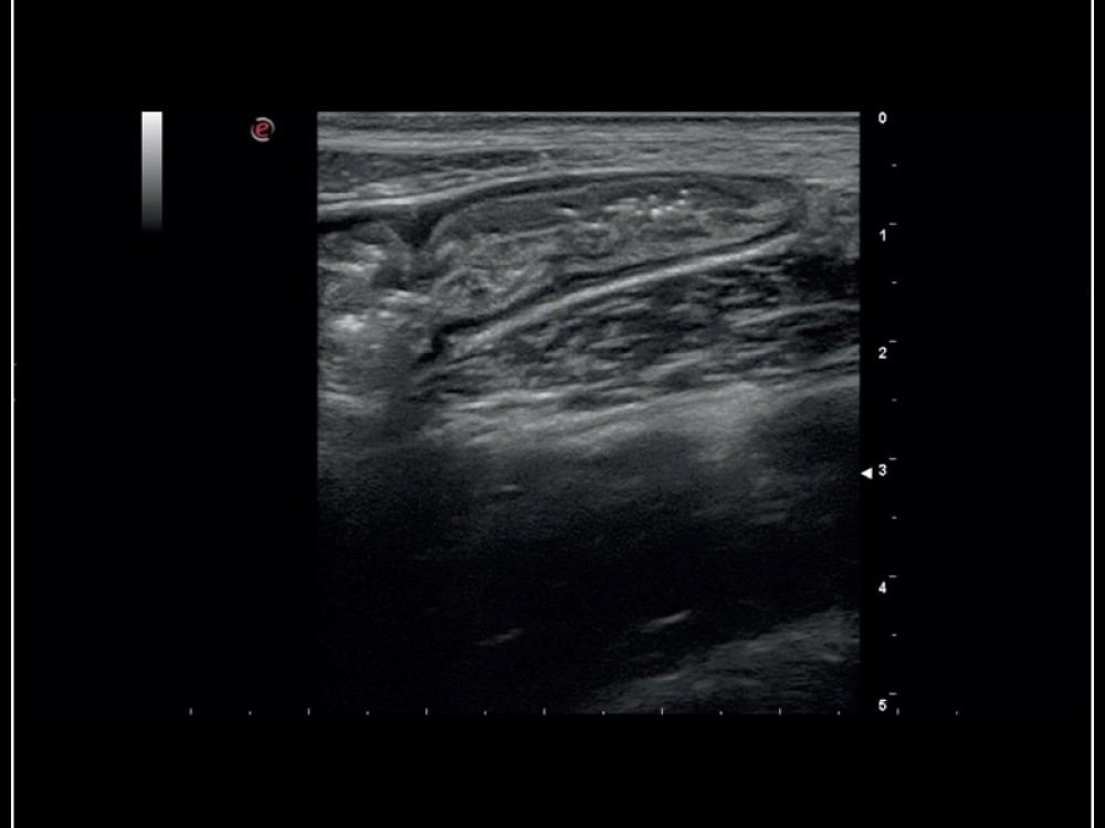
• L4-15: Muskuloskeletal, tiroid, kiçik strukturlar, döş və revmatologiya üçün uyğun tezlik diapazonu

Konveks Problar:
• AC2541: Abdominal görüntüləmə üçün uyğun

Xüsusi Problar:
• 25 MHz-ə qədər yüksək tezlikli problar, ətraflı görüntüləmə üçün

Bu problar müxtəlif klinik tətbiqlərdə yüksək rezolyusiyalı görüntüləmə təmin edir və dəqiq diaqnostika üçün nəzərdə tutulub.

Açıqlama

Esaote MyLab Sigma

Esaote MyLab Sigma çoxməqsədli, portativ ultrasəs sistemi olub, müxtəlif klinik tətbiqlərdə yüksək keyfiyyətli diaqnostik görüntüləmə təmin etmək üçün nəzərdə tutulmuşdur. Sistem inkişaf etmiş görüntüləmə texnologiyaları və istifadəsi asan funksiyaları ilə həm insan, həm də baytarlıq tibbində diaqnostik effektivliyi artırır.


Paylaş

Satılan Cihazlar