Mindray Resona I8

  • Haqqında
  • VİDEO

Əsas Xüsusiyyətlər və Üstünlüklər

İnnovativ Görüntüləmə Texnologiyası

ZST+ (ZONE Sonography Technology): Ənənəvi şüa formalaşdırma əvəzinə kanal məlumatlarını emal edir, bu da yüksək məkan qətnaməsi, görüntü homojenliyi və temporal qətnamə təmin edir.

Çətin diaqnostik hallarda yüksək keyfiyyətli görüntüləmə imkanı verir.

Ağıllı Diaqnostik Alətlər (AI-əsaslı tətbiqlər)

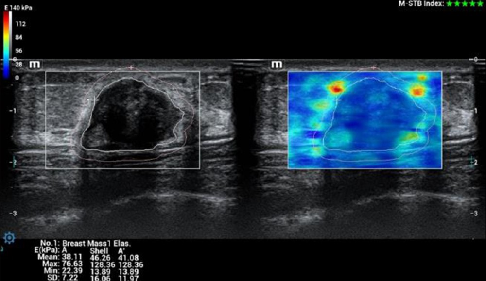
HiFR STE: Toxuma elastikliyinin yüksək kadr sürətli shear-wave elastografiyası ilə qiymətləndirilməsi.

UWN+ Contrast Imaging: Harmonik və qeyri-xətti əsas siqnallar vasitəsilə kontrast ultrasəs (CEUS) görüntüləmə.

Glazing Flow: Kiçik, üst-üstə düşən damarların intuitiv vizuallaşdırılması.

Smart HRI: Qaraciyər steatozunun avtomatik kvantifikasiyası.

Smart Breast & Smart Thyroid: Lezyonların avtomatik aşkarlanması, ölçülməsi, hesabatlandırılması və standartlara uyğun analiz (BI-RADS, TI-RADS).

RIMT: İntima-media qalınlığının real vaxtda avtomatik ölçülməsi; vaskulyar xəstəliklər üçün diaqnostik dəyər.

TT QA (Tissue Tracking): Miokard hərəkətinin bucaq asılılığından asılı olmayaraq analizini təmin edir.

Erqonomik və İstifadəçi Mərkəzli Dizayn

23.8” bezel-free monitor: Yüksək keyfiyyətli və immersiv görüntüləmə üçün.

13.3” jestlə idarə olunan touchscreen: İnteraktiv və intuitiv idarəetmə.

Yüksək transduser portları: Prob dəyişimini rahat və tez edir.

Sakit əməliyyat (təxminən 26 dB): Rahat iş mühiti üçün optimal.

Batareya ilə mobil istifadə: 2 saata qədər kablosuz skan.

Modul dizayn: Baxım və texniki xidmət asanlığı, az dayanma vaxtı.

Living Technology™: Proqram təminatı yenilənmələri ilə sistemin zamanla inkişaf etməsi imkanı.

Klinik Çeşidlilik

Çoxlu transduser dəstəyi: konveks, lineer, fazalı-array, endokavyer, bi-plane, TEE və s.

Klinik istifadə sahələri: abdominal, vaskulyar, kiçik orqanlar (sinə, qalxanvari vəz), kardiovaskulyar və qadın sağlamlığı ultrasəsi.

Resona I8 üçün uyğun transduserlər (problar)

1. Konveks (Abdominal / Obstetrik / Qadın Sağlamlığı)

C5-2 / C6-2: Abdominal, qaraciyər, böyrək, uşaqlıq və dölyata baxış

C9-4: Uşaq və neonatal abdominal görüntüləmə

2. Lineer (Kiçik Orqanlar / Vaskulyar / Musculoskeletal)

L12-5 / L14-5: Sinə, qalxanvari vəz, damarlar, yumuşaq toxumalar

L18-5 / L20-5: Superficial strukturlar və dermatoloji tətbiqlər

3. Fazalı-Array (Kardiyoloji / TEE)

P4-1 / P7-3: Ürək, böyük damarlar və transtorasik kardiyoloji görüntüləmə

Phased-array TEE probe: Transözofageal ürək görüntüləmə

4. Endokavyer / Transvaginal

V11-3 / V10-4: Qadın reproduktiv sistemi, transvaginal ultrason

Endocavity 3D/4D: Qadın sağlamlığı, embrion diaqnostikası

5. Bi-plane / 3D-4D

Biplane probe: Endokardial və damar görüntüləmə üçün

3D / 4D probes: Obstetrik və qadın sağlamlığı, real vaxt 3D görüntüləmə

6. Kontrast / Elastografiya

CEUS uyumlu probe (UWN+): Kontrastlı ultrasəs görüntüləmə

HiFR STE probe: Shear-wave elastografiya üçün

*Cihaz alışı ilə bağlı rəsmi nümayəndəliyə müraciət etməyiniz xahiş olunur. Burada təqdim olunan məlumat yalnız informasiya xarakteri daşıyır və SAS Medical tərəfindən yeni cihazların satışları həyata keçirilmir.

Açıqlama

Mindray Resona I8, yüksək görüntü keyfiyyəti, AI əsaslı diaqnostik alətlər və erqonomik funksionallıq təklif edən güclü bir ultrasəs sistemidir. Mobil qurğularla müqayisədə daimi stabil yerləşim üçün daha uyğundur və geniş klinik tətbiqlərdə (abdominal, OB/GYN, vaskulyar və s.) çox istifadə edilə bilər.


Satılan Cihazlar