Samsung Medison R20

  • Haqqında
  • VİDEO

Əsas Xüsusiyyətlər

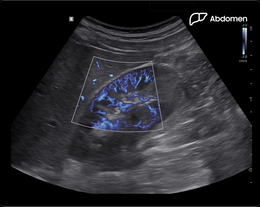
Advanced Imaging Technology: İkinci nəsil proqram təminatlı beamforming texnologiyası ilə görüntü keyfiyyətini və diaqnostik dəqiqliyi artırır.

AI-Powered Clinical Tools: BiometryAssist, HeartAssist, ViewAssist kimi süni intellekt əsaslı alətlər dəqiq ölçmələr və daha səmərəli iş axını təmin edir.

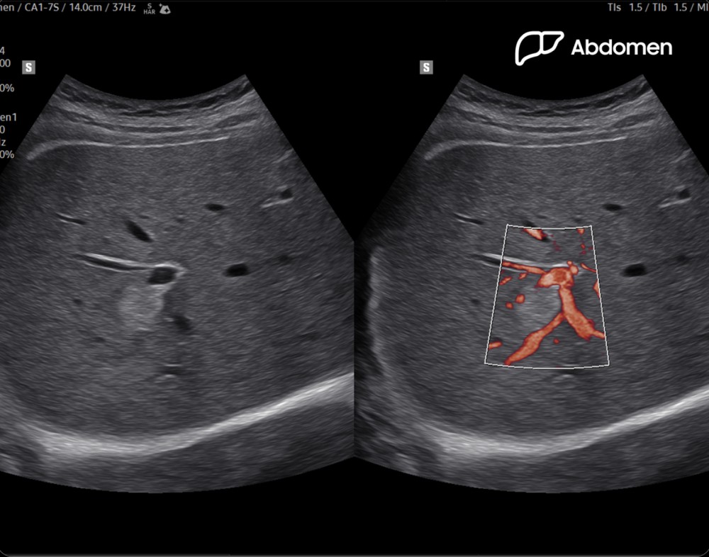
Versatile Imaging Modes: 2D, Color Doppler, Power Doppler, M-mode, Pulsed/Continuous Wave Doppler, Tissue Doppler Imaging, ElastoScan və 3D/4D görüntüləmə dəstəyi.

User-Centric Design: 27” OLED wide-LED monitor və 15.6” wide-LED sensor ekran intuitiv idarəetmə üçün dizayn edilib.

Connectivity Options: Wi-Fi və SonoSync™ vasitəsilə məlumatların paylaşılması və uzaq diaqnostika imkanı.

2. Uyğun Problar 

Linear Array Probes (Lineer)

LM2-18

LA3-22AI

LA2-9S

LA2-14A

LA2-16S

 Convex Array Probes (Əyrik / Convex)

CA1-7S

CA3-10A

 Phased Array Probes (Fazlı)

PA1-5A

 Endocavitary Probes (Endokavit / Vaginal)

EA2-11AR

EA2-11AV

Microconvex Probes (Mikro-əyrik)

CMV1-10

CMV1-10Z

 Cine Probe

CV1-8A

 Endovaginal Probe

EV2-12

*Cihaz alışı ilə bağlı rəsmi nümayəndəliyə müraciət etməyiniz xahiş olunur. Burada təqdim olunan məlumat yalnız informasiya xarakteri daşıyır və SAS Medical tərəfindən yeni cihazların satışları həyata keçirilmir.

Açıqlama

Samsung Medison R20

Samsung R20, Samsung Electronics-in törəmə şirkəti olan Samsung Medison tərəfindən hazırlanmış premium diaqnostik ultrasəs sistemidir. Sistem müxtəlif klinik mühitlərdə tibbi mütəxəssislərə dəstək vermək üçün nəzərdə tutulmuşdur, o cümlədən: xəstəxanalar, özəl tibbi praktikalar və klinikalar.

 


Satılan Cihazlar