Siemens ACUSON S 3000

  • Haqqında
  • VİDEO

Siemens ACUSON S3000 – Texniki Xüsusiyyətlər və Problar

Ölçülər və Çəki

Hündürlük: 130–156.7 sm (51.2–61.7")

En: 62.3 sm (24.5")

Dərinlik: 110.3 sm (43.4")

Çəki: 165 kg (365 lbs)

Monitor: 19" düz panel LCD

Görüntüləmə Xüsusiyyətləri

Modlar: 2D, 3D, 4D, M-Mod, Rəngli Doppler, Continuous Wave (CW) Doppler, Pulsed Wave (PW) Doppler

Qabaqcıl Texnologiyalar:

eSie Touch™ – toxuma sərtliyinin qiymətləndirilməsi üçün elastoqrafiya

Cadence™ – kontrast həssaslığını artırmaq üçün kontrast impuls ardıcıllığı

SieClear™ – spatial compounding ilə görüntü keyfiyyətinin artırılması

Dynamic TCE™ – toxuma kontrastını yaxşılaşdırmaq

Auto Gain – avtomatik görüntü optimallaşdırma

Workflow Təkmilləşdirmələri

eSieScan™ – fərdiləşdirilmiş müayinə protokolları

syngo Auto OB Measurements – yarı-avtomatik döl ölçmələri

syngo eSieCalcs™ – ölçmə və hesablamalar üçün alətlər

Uyğun Problar / Transducer-lar

 Curved Array Problar (Konveks)

7CF1: 1.0–7.0 MHz – Konveks Array

7CF2: 2.0–7.0 MHz – Konveks Array

9EVF4: 4.0–9.0 MHz – Endovaginal Konveks

EV-8C4: 4.0–9.0 MHz – Endovaginal Konveks

 Phased Array / Vector Array Problar

4P1: 1.0–4.5 MHz – Phased Array

4V1: 1.0–4.5 MHz – Vector Array

4V1c: 1.0–4.5 MHz – Vector Array

 Linear Array Problar

18L6 HD: 5.5–18.0 MHz – High-Density Linear Array

14L5 SP: 5.0–14.0 MHz – Hockey Stick Linear Array

14L5: 5.0–14.0 MHz – Linear Array

9L4: 4.0–9.0 MHz – Linear Array

 Endocavity Problar

EC9-4: 4.0–9.0 MHz – Endokavitar

 Transesophageal Echocardiography (TEE) Problar

V7M: 4.0–8.0 MHz – TEE Probe

V5Ms: 3.0–7.0 MHz – TEE Probe

 Continuous Wave (CW) Doppler Problar

CW5: 5.0 MHz – CW Doppler

CW2: 2.0 MHz – CW Doppler

Açıqlama

Siemens ACUSON S3000

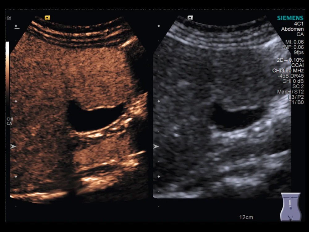
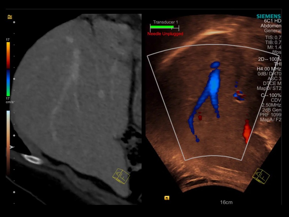
Siemens ACUSON S3000, ümumi görüntüləmə və müdaxilə radiologiyası üçün nəzərdə tutulmuş premium ultrasəs sistemidir. Sistem yüksək keyfiyyətli görüntüləmə və iş axını effektivliyi təmin edən aşağıdakı qabaqcıl xüsusiyyətlərə malikdir:

Elastography Imaging: Toxuma sərtliyinin ölçülməsi üçün elastoqrafiya texnologiyası.

Multi-Modality Review: Müxtəlif görüntüləmə modallarını eyni interfeys üzərində nəzərdən keçirmək imkanı.

Contrast-Enhanced Ultrasound (CEUS): Kontrast maddə istifadə edərək damar və toxumaların detallarını daha aydın göstərmək.

ACUSON S3000 həm ümumi klinik tətbiqlərdə, həm də xüsusi müdaxilə radiologiyasında istifadəyə uyğundur və yüksək görüntü keyfiyyəti ilə effektiv workflow təmin edir.


Paylaş

Satılan Cihazlar