SİEMENS ACUSON NX2

  • Haqqında
  • VİDEO

Texniki Xüsusiyyətlər

En: 53.2 sm (20.9 in)
Hündürlük: 143.1 sm (56.3 in)
Dərinlik: 86.2 sm (33.9 in)
Çəki: 62 kq (137 lbs)

Monitor:
21.5 düymlük geniş formatlı LED panel, yüksək təsvir ölçülü (Full HD 1080p), rəngli, In-Plane Switching (IPS) texnologiyası ilə aydın baxış bucağı təmin edir.

Prob portları:
4 prob portu (standart olaraq 3 aktiv port, 4-cü port opsional şəkildə aktiv edilə bilər)

Xüsusiyyətlər və Üstünlüklər

XüsusiyyətTəqdim etdiyi imkanlar
Monitor / Displey21.5 düymlük Full HD (1080p) monitor – öz sinfində ən böyük ekran.
İstifadəçi interfeysi və iş axınıKlaviatura toxunuşlarını 20% azaldan optimallaşdırılmış idarəetmə; istifadəçi üçün proqramlaşdırılan düymələrin sayı 3 dəfə artırılıb.
Prob dəstəyiKonveks, linear, endokavitari, fazalı, CW/PW doppler və digər geniş prob diapazonu ilə uyğunluq.
Port konfiqurasiyasıStandartda 3 aktiv prob portu; əlavə 4-cü aktiv port opsiya kimi mövcuddur.
Görüntü emalı texnologiyalarıTissue Harmonic Imaging (THI), SieClear məkan kompoziti, TCE/DTCE toxuma kontrast gücləndirilməsi, panoramik görüntüləmə (SieScape), Clarify VE damar təkmilləşdirilməsi, Auto-OB ölçmələri və s.
Tətbiq sahələriÜmumi görüntüləmə, qarın, kiçik orqanlar, damar müayinələri, OB/GYN, MSK, süd vəzi, pediatriya, urologiya və s.

ACUSON NX2 üçün Probların Tam Siyahısı

 Konveks (Curved Array) Problar

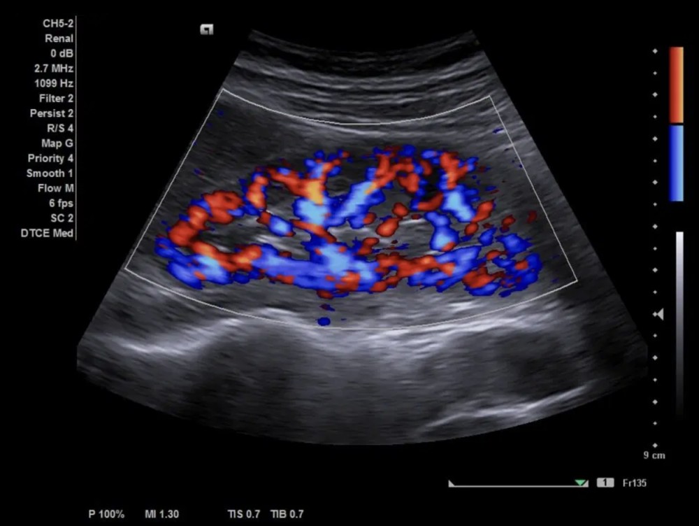
1. CH5-2

Tezlik: 1.4–5.0 MHz

Tətbiq: Qarın, erkən hamiləlik, böyrəklər, çanaq, təcili yardım

Qeyd: Standart konveks prob

2. C8F3

Tezlik: 2.0–7.0 MHz

Tətbiq: Qarın, erkən OB, fetal exo, ginekologiya, çanaq dibi

Qeyd: Genişzolaqlı yüksək keyfiyyətli konveks prob

3. C5-2v

Tezlik: 2.0–5.0 MHz

Tətbiq: Qarın, erkən OB, böyrəklər, çanaq, təcili yardım

Qeyd: Daha sərfəli “value” modeli

Linear Problar

1. VF10-5

Tezlik: 5.0–10.0 MHz

Tətbiq: Süd vəzi, serebrovaskulyar, MSK, periferik damarlar, testis, qalxanabənzər vəzi, venoz sistem

Qeyd: Standart linear prob

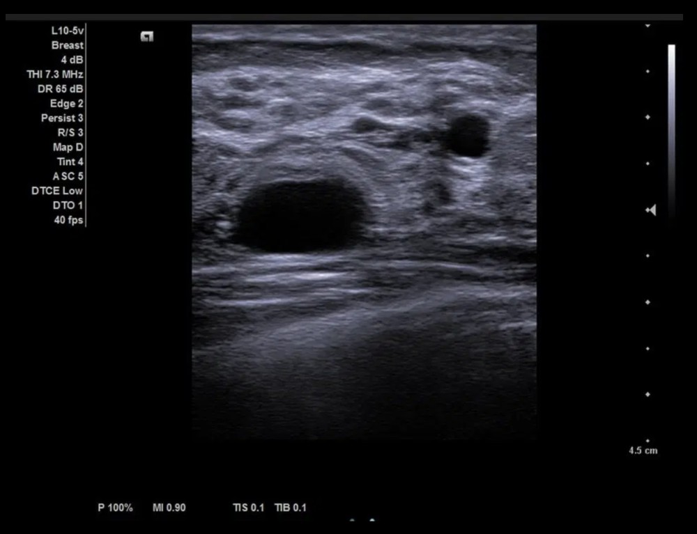
2. L10-5v

Tezlik: 4.2–12.0 MHz

Tətbiq: Süd vəzi, serebrovaskulyar, MSK, kiçik orqanlar, periferik arteriya və vena, pediatriya

Qeyd: “Value” versiyası

 Fazalı (Phased Array) Prob

1. P4-2

Tezlik: 1.3–4.4 MHz

Tətbiq: Kardiologiya, abdomen, OB, təcili yardım

Qeyd: Standart kardial prob

Endokavitari Problar

1. EC9-4

Tezlik: 3.3–10.3 MHz

Tətbiq: Erkən OB, ginekologiya, təcili yardım, prostat

Qeyd: Transvaginal/transrektal müayinələr üçün ixtisaslaşmış prob

 Doppler (CW) Problar

1. CW2

Tezlik: 2.0 MHz

Tətbiq: Kardiologiya, pediatrik exo

Qeyd: Davamlı dalğa doppler probu

2. CW5

Tezlik: 5.0 MHz

Tətbiq: Serebrovaskulyar, pediatrik exo

Qeyd: Yüksək tezlikli davamlı dalğa doppler probu

Açıqlama

SİEMENS ACUSON NX2

ACUSON NX2 — Siemens Healthineers-in NX seriyasına aid ultrasəs sistemidir. Bu cihaz ümumi görüntüləmə, OB/GYN, damar (vaskulyar), kiçik orqanlar və digər çoxprofilli müayinələr üçün nəzərdə tutulub.

Sistem, klinikalara yüksək görüntü keyfiyyəti, stabil performansoptimal qiymət-performans nisbəti təqdim edərək geniş xidmət sahələrində etibarlı diaqnostika imkanı yaradır.


Paylaş

Satılan Cihazlar