Toshiba Aplio 400

  • Haqqında
  • VİDEO

Aplio 400 – Əsas Xüsusiyyətlər və Üstünlüklər

Aplio 400-ü həm texniki göstəricilər, həm də istifadəçi rəyləri əsasında ön plana çıxaran xüsusiyyətlər bunlardır:

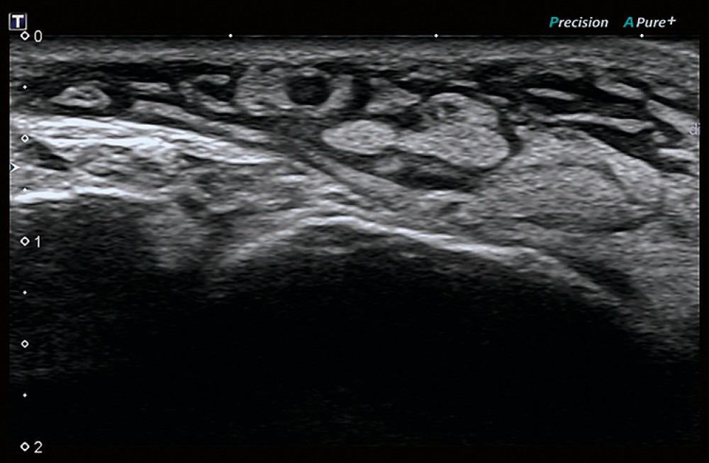
1. Yüksək keyfiyyətli görüntüləmə rejimləri

Precision Imaging, Differential Tissue Harmonic Imaging, ApliPure / ApliPure+

Ayırdetməni və kontrastı artırır

Səs-küy və artefaktları azaldır

Xırda detalların görünməsini yaxşılaşdırır

Diaqnostik dəqiqliyi yüksəldir

2. Çoxsaylı Doppler rejimləri və inkişaf etmiş qan axını görüntüləməsi

Color Doppler, Power Doppler, PW, CW, Advanced Dynamic Flow, micro-vascular imaging
Bu imkanlar qan axınının müxtəlif şəraitlərdə qiymətləndirilməsinə şərait yaradır:

Böyük damarlar

Kiçik damarlar (mikrodolaşım)

Axının sürət və istiqamət analizləri
Xüsusilə damar müayinələri, kardiologiya və onkoloji sahələrdə əhəmiyyətlidir.

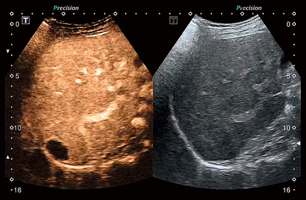
3. 3D / 4D görüntüləmə

Mama-ginekologiya

Fetal görüntüləmə

Həcmi analizlər və strukturların üçölçülü qiymətləndirilməsi üçün çox uyğundur.

4. Elastoqrafiya

Toxuma sərtliyinin qiymətləndirilməsi

Massaların və lezyonların fərqləndirilməsində (xüsusilə döş, qalxanabənzər və qaraciyər) kliniki fayda verir.

5. Geniş prob çeşidi

Aplio 400 müxtəlif klinik ehtiyaclara uyğun problarla işləyə bilir:

Linear

Konveks

Mikro-konveks

Sektor (kardioloji)

Endokavitariya

İntravaskulyar və digər xüsusi problar
Bu, həm pediatrik, həm də böyüklər üçün geniş tətbiq imkanı yaradır.

6. Erqonomika və iş axını üstünlükləri

19–21.5" yüksək ayırdetməli monitor

Sensor panel və toxunma idarəetməsi

Bir neçə prob portu

Fərdiləşdirilə bilən presets

Protokol assistantları

QuickScan avtomatik optimizasiya
Bu xüsusiyyətlər klinik mühitdə rahatlıq, sürət və səmərəlilik yaradır.

Toshiba / Canon Aplio 400 – Uyğun Problar

1. Linear Problar

PLT-1005BT: 5.0–14.0 MHz – kiçik orqanlar, MSK və periferik damar üçün.

PLT-705BT: Əyri linear dizaynlı, müxtəlif müayinələr üçün çox yönlü prob.

2. Konveks Problar

PVT-674BT: Abdominal və OB/GYN müayinələr üçün yüksək görüntü keyfiyyəti.

PVT-375BT (9CV3): Abdominal görüntüləmə üçün çox yönlü konveks prob.

PVT-382BT (6MC1): Mikro-konveks prob – Aplio 300, 400, 500 və i-seriyası ilə uyğundur.

3. Endokavitariya (Transvaginal) Problar

PVT-781VT: 3.0–11.0 MHz – ginekoloji və erkən hamiləlik müayinələri üçün.

PVT-781VTE: Aplio 300/400/500 ilə tam uyğundur.

4. Laparoskopik Prob

PET-805LA (12LI4): 3.5–9.0 MHz – Aplio 300, 400, 500 və i-seriyası ilə uyğun.

5. Mikro-Konveks Prob

8MC1: Çoxməqsədli mikro-konveks prob – pediatriya, abdominal və MSK müayinələr üçün idealdır.

*Cihaz alışı ilə bağlı rəsmi nümayəndəliyə müraciət etməyiniz xahiş olunur. Burada təqdim olunan məlumat yalnız informasiya xarakteri daşıyır və SAS Medical tərəfindən yeni cihazların satışları həyata keçirilmir.

Açıqlama

Aplio 400  — Toshiba-nın (hazırda Canon Medical Systems) istehsalı olan, stasionar və ekspert səviyyəli ultrasəs görüntüləmə sistemidir.

Sistem geniş klinik tətbiqlər üçün nəzərdə tutulmuşdur və aşağıdakı sahələrdə yüksək performans göstərir:

Abdominal görüntüləmə

Mama-ginekologiya

Kardiologiya

Damar müayinələri

Kiçik orqanlar

Muskul-skelet sistemi (MSK)

Həmçinin xüsusi tətbiqlər: 4D görüntüləmə, intravaskulyar, endokavitariya və digər daxili prob yanaşmaları


Satılan Cihazlar